-
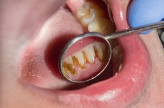
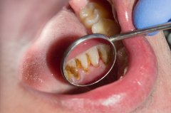
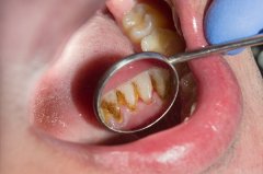
深圳羅湖口岸附近牙科洗牙推介 愛康健超聲波保
深圳愛康健口腔醫院(香港電話852-62157070)超聲波保健洗牙68元/次,菌斑導向專業洗牙158元/次,香港...
-
邊度有杜牙根醫生介紹?深圳杜牙根推薦愛康健牙
深圳愛康健(香港電話852-62157070)杜牙根8.5折!方宇副主任醫師,畢業於武漢大學口腔醫學院,擁有多...
-
深圳愛康健口腔醫院洗牙好唔好?洗牙價錢幾多
深圳愛康健口腔醫院(香港電話852-62157070)超聲波保健洗牙68元/次,菌斑導向專業洗牙158元/次.二級...
-
洗牙時必須做拋光嗎?深圳洗牙價錢幾多一次?愛康
深圳愛康健(香港電話852-62157070)超聲波保健洗牙68元/次,菌斑導向專業洗牙158元/次.羅湖口岸總院...
-
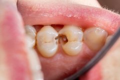
深圳補牙多少錢一顆?2026深圳愛康健補牙價格表
深圳愛康健(香港電話852-62157070)常規樹脂補牙首顆半價,第二顆起7.5折!羅湖總院支持使用香港長...
-
除了出血,牙周炎的早期信號還有哪些?深圳牙周
深圳愛康健(香港電話852-62157070)牙周治療8折,牙周刮治首顆半價,超聲波保健洗牙68元/次,菌斑導...
-
深圳洗牙價錢討論 羅湖愛康健口腔醫院65歲以上
深圳愛康健口腔醫院(香港電話852-62157070)針對年滿65歲及以上長者推出:超聲波保健洗牙58元/次...
-
深圳樹脂補牙150元/顆?愛康健羅湖/福田補牙價錢
深圳愛康健(香港電話852-62157070)常規樹脂補牙首顆半價,第二顆起7.5折!三十餘年深圳老字號,旗下...
-
幾十塊同幾百塊嘅洗牙分別喺邊?附深圳愛康健羅
深圳愛康健口腔醫院(香港電話852-62157070)超聲波保健洗牙68元/次,菌斑導向專業洗牙158元/次,二級...
-
杜牙根後一定要做牙套嗎?深圳杜牙根價錢收費多
深圳愛康健(香港電話852-62157070)杜牙根8.5折!羅湖總院支持使用香港長者醫療券!雖然並非所有情...
-
深圳拔牙全攻略:哪些情況需要拔?拔牙多少錢一
深圳愛康健(香港電話852-62157070)拔智慧齒減300元/顆,非智齒拔牙8折!羅湖/福田/南山13間口腔醫院...
-
港人北上深圳補牙多唔多人?補牙幾多錢一隻?愛康
深圳愛康健口腔醫院(香港電話852-62157070)常規樹脂補牙首顆半價,第二顆起7.5折!近羅湖口岸,香港...
-
洗牙有風險嗎?深圳洗牙邊間好推介?洗牙價錢幾多
深圳愛康健(香港電話852-62157070)超聲波保健洗牙68元/次,菌斑導向專業洗牙158元/次.羅湖總院支持...
-
智齒蛀了是補還是拔?深圳補牙多少錢?附愛康健牙
深圳愛康健口腔醫院(香港電話852-62157070)常規樹脂補牙首顆半價,第二顆起7.5折!香港長者醫療券...
-
為什么不同診所洗牙價格差那么多?深圳羅湖/福田
深圳愛康健(香港電話852-62157070)超聲波保健洗牙68元/次,菌斑導向專業洗牙158元/次.香港長者醫療...
-
為什麼香港補牙比深圳貴那麼多?補牙價錢幾多一
深圳愛康健口腔醫院及連鎖門診(香港電話852-62157070)常規樹脂補牙首顆150元,支持使用香港長者...
-
洗牙後牙齦為什么會出血?深圳洗牙多少錢一次
深圳愛康健口腔醫院及連鎖門診(香港電話852-62157070)超聲波保健洗牙68元/次,菌斑導向專業洗牙...
-
補牙可以改善牙縫大問題嗎?深圳補牙多少錢一顆
深圳愛康健(香港電話852-62157070)常規樹脂補牙首顆半價,第二顆起7.5折!香港長者醫療券指定牙科...
-
【深圳洗牙討論】洗牙一般多少錢?愛康健洗牙好
深圳愛康健(香港電話852-62157070)超聲波保健洗牙68元/次,菌斑導向專業洗牙158元/次.三十餘年深圳...
-
補牙後咬合不舒服怎麼辦?深圳補牙價錢幾多?愛康
深圳愛康健(香港電話852-62157070)常規樹脂補牙首顆半價,第二顆起7.5折!旗下13間口腔醫院及門診...
-
深圳洗牙邊間好愛康健羅湖福田南山13院連鎖 香
深圳愛康健(香港電話852-62157070)超聲波保健洗牙68元/次,菌斑導向專業洗牙158元/次.三十餘年深圳...
-
杜牙根後牙痛正常嗎?會痛幾耐?深圳杜牙根收費幾
深圳愛康健(香港電話852-62157070)杜牙根8.5折!31年深圳老字號品牌,羅湖總院支持使用香港長者醫...
-
得了牙周炎,牙齒都會掉光嗎?點樣治療?深圳牙周
深圳愛康健(香港電話852-62157070)牙周治療8折,牙周刮治首顆半價,保健洗牙68元/次.羅湖總院支持...
-
牙槽骨萎縮了還能拔牙嗎?深圳拔牙多少錢一顆
深圳愛康健(香港電話852-62157070)剝智慧齒減300元/顆,非智齒拔牙8折!羅湖總院支持使用香港長者...
-
杜牙根要整幾多次?深圳杜牙根收費幾多錢?愛康健
深圳愛康健(香港電話852-62157070)根管治療8折,三十餘年深圳老字號齒科品牌,羅湖總院支持使用香...
-
深圳洗牙推薦牙科?洗牙價錢多少?香港長者醫療券
深圳愛康健口腔醫院(香港電話852-62157070)超聲波保健洗牙68元/次,菌斑導向專業洗牙158元/次.二級...
-
牙周炎需要做手術嗎? 深圳牙周炎治療多少錢?愛
深圳愛康健口腔醫院(香港電話852-62157070)牙周治療8折,牙周刮治首顆半價,保健洗牙68元/次.香港...
-
香港人北上深圳補牙需要帶什麼證件?補牙價錢幾
深圳愛康健口腔醫院(香港電話852-62157070)常規樹脂補牙首顆半價,香港長者醫療券指定牙科,三十...
-
深圳洗牙價錢?羅湖愛康健口腔醫院保健洗牙58元
深圳愛康健口腔醫院(香港電話852-62157070)年滿65歲及以上長者超聲波保健洗牙58元/次,無鹽噴砂洗...
-
拔牙後臉腫了怎么辦?深圳拔牙價錢幾多一顆?愛康
深圳愛康健口腔醫院(香港電話852-62157070)剝智齒減300元/顆,非智齒拔牙8折!香港長者醫療券指定...
-
洗牙後牙縫能恢復嗎?深圳洗牙價錢幾多?愛康健保
深圳愛康健(香港電話852-62157070)超聲波保健洗牙68元/次,菌斑導向專業洗牙158元/次.三十餘年深圳...
-
深圳補牙幾錢一隻?愛康健樹脂補牙首顆150元(羅湖
深圳愛康健(香港電話852-62157070)三十餘年深圳老字號齒科品牌,常規樹脂補牙授課150元,羅湖總院...
-
不正規的洗牙有哪些風險?深圳罗湖口岸洗牙邊間
深圳愛康健口腔醫院(香港電話852-62157070)超聲波保健洗牙68元/次,菌斑導向專業洗牙158元/次,二級...
-
杜牙根失敗點算好?深圳杜牙根收費幾多錢?愛康健
深圳愛康健(香港電話852-62157070)杜牙根8.5折!三十餘年深圳老字號齒科品牌,旗下羅湖/福田/南山...
-
補牙失敗通常系咩原因?深圳補牙多少錢一顆?愛康
深圳愛康健口腔醫院(香港電話852-62157070)常規樹脂補牙首顆半價,第二顆起7.5折.香港長者醫療券...
-
洗牙能預防哪些口腔疾病?深圳洗牙價錢幾多一次
深圳愛康健(香港電話852-62157070)超聲波保健洗牙68元/次,菌斑導向專業洗牙158元/次.羅湖/福田/南...
-
深圳拔門牙要多少錢一顆?愛康健前牙拔除200元起
深圳愛康健(香港電話852-62157070)拔門牙200元起/顆,三十餘年深圳老字號齒科品牌,羅湖/福田/南山...
-
牙周炎需要做手術嗎?一文睇清手術類型、深圳費
深圳愛康健(香港電話852-62157070)牙周治療8折,牙周刮治首顆半價,保健洗牙68元/次.羅湖口岸總院...
-
補牙失敗通常系咩原因?深圳補牙價錢幾多一隻
深圳愛康健(香港電話852-62157070)常規樹脂補牙首顆半價,第二顆起7.5折!羅湖總院支持使用香港長...
-
為什么洗牙時會感覺酸痛?深圳洗牙多少錢一次
深圳愛康健口腔醫院(香港電話852-62157070)超聲波保健洗牙68元/次,菌斑導向專業洗牙158元/次.香港...
-
為什么要做杜牙根,而不是直接拔牙?深圳杜牙根
深圳愛康健口腔醫院(香港電話852-62157070)根管治療8.5折,香港長者醫療券指定牙科,二級口腔專科...
-
補牙後可以即刻食嘢嗎?深圳補牙價錢多少一顆
深圳愛康健(香港電話852-62157070)常規樹脂補牙首顆半價,第二顆起7.5折!羅湖總院支持使用香港長...
-
深圳洗牙價錢2026|愛康健洗牙全攻略:流程/頻率
深圳愛康健(香港電話852-62157070)超聲波保健洗牙68元/次,菌斑導向專業洗牙158元/次!羅湖總院支持...
-
深圳杜牙根好唔好?北上睇牙攻略 附杜牙根價錢收
深圳愛康健口腔醫院(香港電話852-62157070)根管治療可享8.5折,二級口腔專科醫院,31年深圳老字號...
-
治療牙周炎,吃消炎藥有效嗎?深圳牙周炎治療多
深圳愛康健(香港電話852-62157070)牙周治療8折,牙周刮治首顆半價,超聲波保健洗牙68元/次,菌斑導...
-
2026深圳補牙價格一覽:補牙會痛嗎?邊種材料好
深圳愛康健(香港電話852-62157070)常規樹脂補牙首顆半價,第二顆起7.5折!可用香港長者醫療券!如果...
-
【深圳洗牙】洗牙一般需要多長時間?價錢幾多一
深圳愛康健口腔醫院(香港電話852-62157070)超聲波保健洗牙68元/次,菌斑導向專業洗牙158元/次.二級...
-
什么是微創拔牙?深圳拔牙多少錢一顆?愛康健用長
深圳愛康健(香港電話852-62157070)剝智慧齒減300元/顆,非智齒拔牙8折!三十餘年深圳老字號牙科連...
-
深圳洗牙價錢幾多一次?愛康健羅湖康輝門診超聲
深圳愛康健羅湖康輝門診(香港電話852-62157070)超聲波保健洗牙68元/次,菌斑導向專業洗牙158元/次...
-
港人北上深圳補牙合適嗎?深圳補牙多少錢?羅湖愛
深圳愛康健(香港電話852-62157070)三十餘年深圳老字號,碩博醫師親診,13間口腔醫院及門診,羅湖總...
-
深圳洗牙價錢指南:愛康健口腔醫院65歲以上長者
深圳羅湖口岸愛康健口腔醫院(香港電話852-62157070)年滿65歲及以上大陸和香港長者洗牙價錢收費...
-
深圳補牙價錢討論|補牙多少錢一顆|愛康健常規樹
深圳愛康健(香港電話852-62157070)常規樹脂補牙首顆半價,第二顆起7.5折!羅湖口岸總院支持使用香...
-
北上深圳洗牙一次多少錢?哪家牙科好?羅湖口岸
深圳愛康健(香港電話852-62157070)超聲波保健洗牙68元/次,菌斑導向專業洗牙158元/次!香港長者醫療...
-
聲波樹脂補牙是什麼?點樣?愛康健補牙好唔好?補
深圳愛康健(香港電話852-62157070)常規樹脂補牙首顆半價,第二顆起7.5折!羅湖總院支持使用香港長...
-
在香港拔牙好還是深圳拔牙好?拔牙費用、便利性
深圳愛康健口腔醫院(香港電話852-62157070)三十餘年深圳老字號品牌,二級口腔專科醫院,香港長者...
-
深圳洗牙好推薦 洗牙一次多少錢?愛康健保健洗牙
深圳愛康健口腔醫院(香港電話852-62157070)超聲波保健洗牙68元/次,菌斑導向專業洗牙158元/次.二級...
-
醫生會怎麼診斷牙周炎?牙周炎怎麼治療?深圳愛康
深圳愛康健(香港電話852-62157070)牙周治療8折,牙周刮治首顆半價!羅湖口岸總院支持使用香港長者...
-
為什麼深圳補牙比香港便宜那麼多?深圳補牙多少
深圳愛康健(香港電話852-62157070)常規樹脂補牙首顆半價,第二顆起7.5折!羅湖口岸總院支持使用香...
-
哪些人需要洗牙?一文弄清楚!附深圳愛康健洗牙價
深圳愛康健(香港電話852-62157070)超聲波保健洗牙68元/次,菌斑導向專業洗牙158元/次.羅湖總院支持...
-
拔牙後臉腫了怎么辦?深圳拔牙多少錢一顆?附愛康
深圳愛康健(香港電話852-62157070)脫智齒減300元/顆,非智齒拔牙8折!拔牙引起的腫脹屬於機體對外...
-
深圳補牙價格 補牙收費標准點樣?愛康健常規樹脂
深圳愛康健(香港電話852-62157070)常規樹脂補牙首顆150元!香港長者醫療券指定牙科,三十年老字號...
-
洗牙有分不同種類嗎?深圳洗牙推薦+洗牙價錢參考
深圳愛康健口腔醫院(香港電話852-62157070)超聲波保健洗牙68元/次,菌斑導向專業洗牙158元/次!近羅...
-
為什么大牙(臼齒)杜牙根比門牙貴?深圳杜牙根收
深圳愛康健(香港電話852-62157070)杜牙根可享8.5折!羅湖口岸總院支持使用香港長者醫療券!前牙的...
-
愛康健保健洗牙價錢58元/次真的嗎?香港長者北上
深圳愛康健口腔醫院(香港電話852-62157070)年滿65歲及以上的長者(不限大陸及香港)洗牙可享,超聲...
-
深圳羅湖牙科補牙幾多錢?愛康健口腔醫院的醫療
深圳愛康健口腔醫院(香港電話852-62157070)常規樹脂補牙首顆半價!二級口腔專科醫院,香港長者醫...
-
拔牙和重做根管治療該如何選擇?附深圳愛康健拔
深圳愛康健(香港電話852-62157070)杜牙根8.5折,脫智齒減300元/顆.羅湖口岸總院支持使用香港長者醫...
-
牙齦出血是不是“上火”了?洗牙能解決嗎?深圳洗
深圳愛康健(香港電話852-62157070)超聲波保健洗牙68元/次,菌斑導向專業洗牙158元/次.三十一年老字...
-
深圳補牙2026邊間好?牙科診所推介!一次過睇清補
深圳愛康健口腔醫院(香港電話852-62157070)二級口腔專科醫院,近羅湖口岸,30年老字號牙科品牌,碩...
-
在深圳愛康健口腔洗牙有分不同種類嗎?洗牙多少
深圳洗牙推薦30年老字號愛康健口腔(香港電話852-62157070)超聲波保健洗牙68元/次,菌斑導向專業洗...
-
深圳洗牙多少錢?愛康健口腔保健洗牙68元/次,香
深圳愛康健口腔醫院(香港電話852-62157070)超聲波保健洗牙68元/次,菌斑導向專業洗牙158元/次!支持...
-
得了牙周炎,牙齒都會掉光嗎?深圳愛康健口腔醫
深圳愛康健口腔醫院(香港電話852-62157070)牙周治療8折,牙周刮治首顆半價,二級口腔專科醫院,近...
-
什麼情況下需要做深度洗牙?深圳洗牙多少錢一次
深圳愛康健(香港電話852-62157070)保健洗牙68元/次,齦下刮治首顆半價,牙周治療8折!羅湖口岸總院...
-
拔掉智慧齒可以瘦臉嗎?深圳脫智慧牙幾錢一隻
深圳愛康健(香港電話852-62157070)拔智齒減300元/顆,非智齒拔牙8折!羅湖口岸總院支持使用香港長...
-
深圳杜牙根要多少錢?愛康健根管治療8.5折!香港長
深圳愛康健口腔醫院(香港電話852-62157070)杜牙根8.5折!鋯美全瓷牙1680元/顆.羅湖口岸總院支持使...
-
牙齒看起來很健康,也需要定期洗牙嗎?深圳愛康
深圳愛康健(香港電話852-62157070)超聲波保健洗牙68元/次,菌斑導向專業洗牙158元/次.羅湖口岸總院...
-
為什么補牙後吃東西會“咬到先痛”?深圳補牙幾
深圳愛康健(香港電話852-62157070)常規樹脂補牙首顆半價,第二顆起7.5折!支持使用香港長者醫療券...
-
為什么要做杜牙根,而不是直接拔牙?深圳杜牙根
深圳愛康健口腔醫院(香港電話852-62157070)杜牙根8.5折!支持使用香港長者醫療券!當出現不可逆的...
-
深圳補牙收費貴嗎?愛康健常規樹脂補牙首顆半價
深圳愛康健(香港電話852-62157070)常規樹脂補牙首顆半價,第二顆起7.5折!羅湖總院支持使用香港長...
-
抽煙真的會導致牙周炎嗎?牙周炎該怎么治療?深圳
深圳愛康健口腔醫院(香港電話852-62157070)牙周治療8折,牙周刮治首顆半價,超聲波保健洗牙68元...
-
什么是深度洗牙(齦下刮治)? 和普通洗牙有什么區
深圳愛康健(香港電話852-62157070)超聲波保健洗牙68元/次,牙周刮治首顆半價,羅湖口岸總院支持使...
-
所有人都適合洗牙嗎?深圳洗牙多少錢一次?愛康健
深圳愛康健(香港電話852-62157070)超聲波保健洗牙68元/次,菌斑導向專業洗牙158元/次,羅湖口岸總院...
-
補牙通常要去幾多次?使唔使返去複診?深圳補牙多
深圳愛康健(香港電話852-62157070)常規樹脂補牙首顆半價,杜牙根8.5折!羅湖口岸總院支持使用香港...
-
在內地做杜牙根是什么價格?深圳杜牙根收費幾錢
深圳愛康健(香港電話852-62157070)杜牙根8.5折!羅湖口岸總院(深圳愛康健口腔醫院)為香港長者醫療...
-
香港長者北上洗牙多少錢?深圳羅湖愛康健口腔醫
深圳愛康健口腔醫院(香港電話852-62157070)二級口腔專科醫院,近羅湖口岸,香港長者醫療券指定牙...
-
拔上排和下排智慧齒的難度一樣嗎?深圳剝智慧牙
深圳愛康健(香港電話852-62157070)拔智慧齒減300元/顆,羅湖總院支持使用香港長者醫療券!通常拔除...
-
深圳補牙點樣揀信得過嘅診所同牙醫?補牙價錢幾
深圳愛康健口腔醫院(香港電話852-62157070)常規樹脂補牙首顆半價!係香港特區政府「長者醫療券...
-
牙齒矯正(戴牙套)期間需要洗牙嗎?深圳洗牙多少
深圳愛康健口腔醫院及連鎖門診(香港電話852-62157070)超聲波保健洗牙68元/次,菌斑導向專業洗牙...
-
牙齒敏感能補牙嗎?深圳補牙幾錢一隻?愛康健常規
深圳愛康健(香港電話852-62157070)常規樹脂補牙首顆半價,第二顆起7.5折!羅湖口岸總院支持使用香...
-
深圳洗牙幾錢一次?先了解需要和禁忌,愛康健保
深圳愛康健(香港電話852-62157070)超聲波保健洗牙68元/次,菌斑導向專業洗牙158元/次.羅湖口岸總院...
-
什麼情況下必須拔掉智慧齒?深圳脫智慧牙費用多
深圳愛康健(香港電話852-62157070)拔智齒減300元/顆.羅湖口岸總院支持使用香港長者醫療券!智齒橫...
-
洗牙可以作為定期的口腔檢查嗎?深圳洗牙多少錢
深圳愛康健(香港電話852-62157070)超聲波保健洗牙68元/次,菌斑導向專業洗牙158元/次,羅湖口岸總院...
-
邊種補牙材料平?深圳補牙費用幾錢?愛康健常規樹
深圳愛康健(香港電話852-62157070)常規樹脂補牙首顆半價,羅湖口岸總院支持使用香港長者醫療券...
-
老年人牙齒松動/脫落,是正常的"老掉牙"嗎?深
深圳愛康健(香港電話852-62157070)牙周治療8折,牙周刮治首顆半價!羅湖總院支持使用香港長者醫療...
-
牙齒看起來很健康,也需要定期洗牙嗎?深圳洗牙
深圳愛康健(香港電話852-62157070)超聲波保健洗牙68元/次,菌斑導向專業洗牙158元/次.羅湖口岸總院...
-
補牙之後有問題點跟進?深圳補牙價錢全攻略:愛
深圳愛康健(香港電話852-62157070)常規樹脂補牙首顆半價,羅湖口岸總院支持使用香港長者醫療券...
-
深圳拔智慧齒費用全解析:影響價格的因素與愛
深圳愛康健(香港電話852-62157070)脫智慧齒減300元/顆.羅湖口岸總院支持使用香港長者醫療券~如果...
-
有牙周病洗牙有無用?深圳洗牙多少錢?愛康健保健
深圳愛康健(香港電話852-62157070)超聲波保健洗牙68元/次,菌斑導向專業洗牙158元/次.近羅湖口岸總...
-
蛀牙是否必須補牙?不同情況下的蛀牙治療!深圳愛
深圳愛康健(香港電話852-62157070)常規樹脂補牙首顆半價,第二顆起7.5折!香港長者醫療券指定牙科...
-
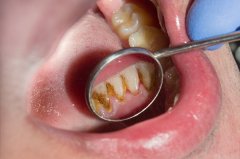
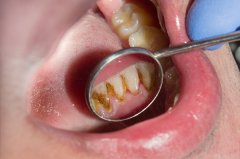
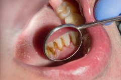
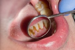
牙結石的嚴重程度如何分級?深圳洗牙多少錢?愛康
深圳愛康健(香港電話852-62157070)超聲波保健洗牙68元/次,菌斑導向專業洗牙158元/次.羅湖總院支持...
-
為什么要做杜牙根,而不是直接拔牙?深圳愛康健
深圳愛康健(香港電話852-62157070)杜牙根8.5折!羅湖口岸總院支持使用香港長者醫療券!直接拔牙看...